Friday, March 20, 2015

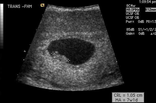
Incomplete Abortion Ultrasound Images

Images of Incomplete Abortion Ultrasound Images

Registration Of Hydatidiform Mole - Thewomens.r.worldssl.net
Registration of Hydatidiform Mole UR number: Surname: Given name/s: Date of birth: Gender: Missed abortion Foetal abnormality Ultrasound Large/Small for dates Incomplete abortion ... Fetch Full Source

Products Of Conception - A Term For Any Pregnancy Tissue
Products of conception is a term for tissues that The doctor may be unable to tell exactly what has been left behind in the uterus by ultrasound, so "products of conception" is the most accurate Whether a woman has a miscarriage or an abortion, the tissue specimen is called ... Read Article

Incomplete Abortion Ultrasound Images Photos

My Patient Has A Positive UPT… Now What?
Critical Concepts 2012-2013 OBGYN CASES Guidelines for Treating Acute GYN Illnesses Stacey L. Holman, MD, FACOG Associate Residency Program Director ... Get Content Here

Incomplete Abortion Ultrasound Images Images

Legal Liability For Emotional Injury Following Induced ...
Legal Liability for Emotional Injury Following Induced Abortion by Thomas W. Strahan, J.D., Editor ultrasound and upheld a jury verdict based on negligence for $300,000, In the case where there is evidence indicating a missed or incomplete abortion, ... Retrieve Here

Incomplete Abortion Ultrasound Images Pictures

Implementation Of A Diagnostic Ultrasound Program In Rural Nepal
Implementation of a Diagnostic Ultrasound Program in Rural Nepal ultrasound images and clips forwarded to EM group over secure FTP each month 9/19/2008 30 4 3 0 No No Yes Yes incomplete abortion completed abortion ... Read Full Source

Images of Incomplete Abortion Ultrasound Images

Sonographic Patterns Of The Endometrium In Assessment Of ...
Sonographic patterns of the endometrium in assessment of medical abortion outcomes are prognostic of incomplete abortion and ongoing pregnan- pattern by ultrasound after a medical abortion is still lacking. ... Document Retrieval

Incomplete Abortion Ultrasound Images Photos

Ultrasound Imaging Of Gestational Trophoblastic Disease
Ultrasound is useful in detecting the presence of fetal pole incomplete or missed abortion.9 Although vital signs are usually stable, Ultrasound Imaging of Gestational Trophoblastic Disease SELF-ASSESSMENT QUIZ C. Choriocarcinoma ... Read More

Incomplete Abortion Ultrasound Images Pictures

Abortion Information Provision Certification, F-40117
ABORTION INFORMATION PROVISION CERTIFICATION . hemorrhage, endometritis, perforated uterus, incomplete abortion, failed abortion, or danger to subsequent pregnancies and infertility. Displayed the ultrasound images so that I could view them, ... Content Retrieval

Products Of Conception - Wikipedia, The Free Encyclopedia
Products of conception, abbreviated POC, and incomplete when some products have been passed but some still remain in utero. [2] [3] Diagnosis According to the 2006 WHO Frequently asked clinical questions about medical abortion, [7] ... Read Article

Photos of Incomplete Abortion Ultrasound Images

PLEASE ATTACH A COPY OF THE HISTOLOGY REPORT******
PV bleeding Histology report Missed abortion Foetal abnormality Ultrasound Large/Small for dates Incomplete abortion Ectopic pregnancy Recurrent bleeding TOP Evacuation of uterus ^hCG OTHER, describe Method of evacuation (Please ... Access Document

My Ultrasound Showed No Fetal Pole. Am I Miscarrying?
My Ultrasound Showed No Fetal Pole. Am I Miscar… 2. No Fetal Heartbeat on Early Ultrasound. Is… 3. How Do Doctors Diagnose Miscarriage and… 4. My Ultrasound Showed No Gestational Sac. What… 5. What Does It Mean When the Gestational Sac Is S… ... Read Article

Miscarriage / Pregnancy Loss Glossary - Definitions Of ...
Blighted ovum, chemical pregnancy, or spontaneous abortion. Our glossary includes thorough explanations of miscarriage terms in language that you can understand. In a pregnancy ultrasound, the CRL Miscarriage and Pregnancy Loss Glossary About Health Follow us: ... Read Article

Photos of Incomplete Abortion Ultrasound Images

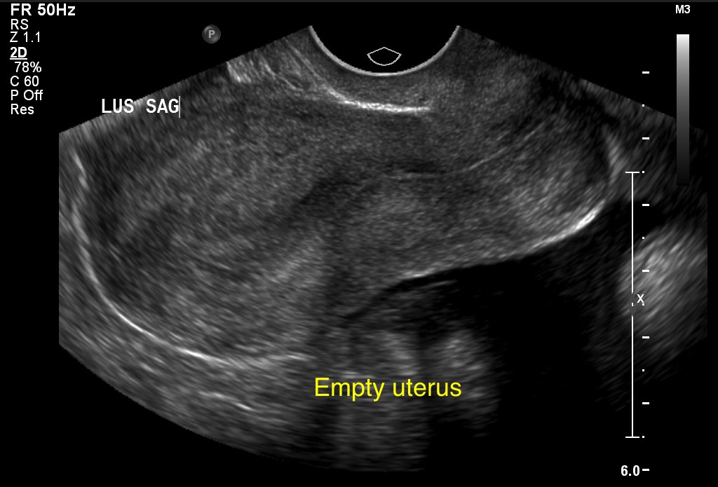
Ultrasound - The Brookside Associates
Incomplete Abortion Ultrasound is sometimes used after passage of pregnancy tissue to determine whether any pregnancy tissue remains inside the uterus. adjusting various settings for the equipment can have a significant effect on improving the images and clarifying detail. ... Fetch This Document

Images of Incomplete Abortion Ultrasound Images

Three-dimensional Power Doppler ultrasound Diagnosis And ...
Three-dimensional power Doppler ultrasound diagnosis and conservative treatment of ectopic pregnancy in a cesarean section scar Maria Angela Pascual, be done with ectopic cervical pregnancy and incomplete abortion. such as multiplanar views or 3-D–rendered images allow ob- ... Document Viewer

Incomplete Abortion Ultrasound Images Images

DIAGNOSTIC - MANDATE
Abruption, incomplete abortion, causes of bleeding, multiple gestations, ectopic preg-nancies, cephalopelvic disproportion, and obtaining gestational age. 3D images and animations. Doppler ultrasound can also be used to measure blood flow. Devices ... Read Full Source

Photos of Incomplete Abortion Ultrasound Images

Medical Management Of Miscarriage - CESPHN
Medical Management of Miscarriage Scope and Purpose Incomplete miscarriage: No gestation sac, but retained placental tissue, Suspected hydatidiform molar pregnancy on ultrasound Relative: Hypertension (BP>140/90) Severe asthma ... Get Document

Pictures of Incomplete Abortion Ultrasound Images

Sonographic Quantification Of Endometrial Changes After ...
And incomplete abortion reached 97% sensitivity and 100% specificity. scale histograms of the endometrium in ultrasonographic images is useful in assessing endometrial changes. Key words: Ultrasonography, abortion, computer-assisted image analysis Because ultrasound examination is done ... Fetch Here

Photos of Incomplete Abortion Ultrasound Images

Introduction Ashermans Syndrome - SignUp4
How it Ashermans Syndrome acquired and what is the incidence in the population? 3 13 Ultrasound images Case 2 3 months post abortion and no period 52 syndrome after secondary removal of placental remnants or repeat curettage for incomplete abortion." ... Document Viewer

Incomplete Abortion Ultrasound Images

Baby's ultrasound At 20 Weeks (5 Months) - YouTube
Baby's ultrasound at 20 weeks (5 months) mikeemercado. Subscribe Subscribed Unsubscribe 2 2. Incomplete (COVER) - Duration: 4:38. mikeemercado 87 views. ultrasound video images of 5 months old baby in mother's womb - Duration: ... View Video

Incomplete Abortion Ultrasound Images Images

Failed First Trimester Pregnancy Termination: Uterine Anomaly ...
Failed First Trimester Pregnancy Termination: Uterine Anomaly as Etiologic Factor potentially serious complication of attempted therapeutic abortion. 2. Angled transverse scan. Following incomplete uterine evacuation, ... Read More

Incomplete Abortion Ultrasound Images Images

SECOND TRIMESTER ABORTION SERVICES INFORMATION (10 To 15.6 WEEKS)
SECOND TRIMESTER ABORTION SERVICES INFORMATION (10 to 15.6 WEEKS) ultrasound and medical history and will recommend the method that s/he believes will be safest and most comfortable for you. incomplete abortion ... Read Full Source

Images of Incomplete Abortion Ultrasound Images

A : ChApter 14 - Weber State University
Abortion Definition ultrasound appearance Incomplete Spontaneous abortion in which some products of conception remain in the uterus Thickened endometrium, myometrium spontaneous abortion. 2. The two images display bony structural anomalies. ... Access Content

No comments:

Post a Comment